Ameliyatta karnında unuttukları iğne kabusu oldu! Eşi, bebek sahibi olamadığı için dövdü
06.05.2025 12:56
DHA
Antalya'da bebek sahibi olamadığı için kendisini suçlayan eşiden dayak yiyen kadın, sesini duyurmaya çalışıyor.


2021 yılının nisan ayında Antalya'nın Kumluca ilçesinde tanıştığı Ü.İ. ile evlenen Sabiha İ., yaşadığı sorunlar nedeniyle 2022 yılının Temmuz ayında dava açıp boşandı. Sabiha İ., eski eşiyle 1 ay sonra yeniden evlenme kararı aldı.
İkinci evliliğinde bebek sahibi olmak isteyen Sabiha İ,, sağlık sorunları dolayısıyla tüp bebek tedavisi görmek için Kumluca'daki özel bir hastaneye başvurdu.

Burada yapılan tetkiklerde yumurtalıklarında miyom (rahim içinde gelişen iyi huylu tümör) tespit edilen Sabiha İ., 16 Ocak 2023'te Antalya Eğitim ve Araştırma Hastanesi'ne sevk edilerek operasyon geçirdi.

Operasyondan sonra Sabiha İ., şiddetli ağrılar yaşamaya başladı. Sabiha İ., ağrı nedeniyle tüp bebek tedavisi için gerekli ilaçları kullanamadı.
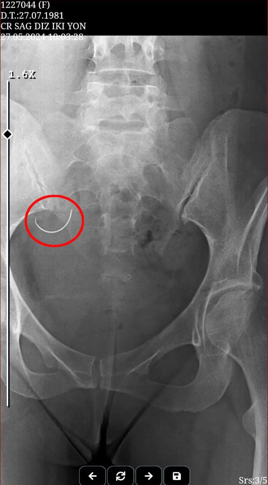
Ü.İ., iddiaya göre bebek sahibi olamadıkları gerekçesiyle suçladığı eşine, 26 Mayıs 2024 tarihinde fiziksel ve psikolojik şiddet uyguladı. Sabiha İ. olaydan 1 gün sonra adli muayene için gittiği Kumluca Devlet Hastanesi'nde, karnında ameliyat iğnesi unutulduğunu, röntgen filmi sayesinde öğrendi.

"ZORLA EVLENDİRİLDİM"
Kocasının bu süreçte kendisini suçladığını söyleyen Sabiha İ., fiziksel ve psikolojik şiddet görmeye devam ettiğini, bebek sahibi olamadığı için ölümle tehdit edildiğini anlattı.
Sabiha İ., "Zorla evlendirildim, ilk evliliğimiz 1 yıl sürdü. Daha sonra boşanma davası açarak ayrıldım ama beni tehdit etmeye başladı. Mecbur bırakıldığım için tekrar evlendim. Evlendikten sonra çocuk istemeye başladı. Sağlık problemim vardı, doktorlar tüp bebek önerdi. Tüp bebek için miyom ameliyatı olmam gerekiyordu, ameliyat sonrası sıkıntılar yaşadım. Kocamla daha sonra aramız açıldı. İlk etapta doktorlar bir şey olmadığını söyledi ancak karnımda iğne unutulmuştu. Kocam doktorlara inandı, bana inanmadı." diye konuştu.

Sabiha İ., "Eşim, 'Sen bebek doğurmamak için yalan söylüyorsun' gibi söylemlerde bulundu. Birlikte beslediğimiz köpeğe bile şiddet uyguladı. Beni ona zarar vermekle tehdit etti. Anneme şiddet uyguladı. Ondan sonra her şey benim için daha kötüye gitti. 26 Mayıs 2024 tarihinde kocam eve geldi, bana fiziksel şiddet uyguladı. Bu olayın ardından ona uzaklaştırma verdiler. Bana da takip cihazı taktılar. Bir sağlık çalışanın hatasının bedelini her gün şiddet görmekle ödüyorum. Bunları hak edecek ne yaptım." dedi.
Ü.İ. ise iddialara yanıt vermeyerek, haber yapılmasını istemediğini söyledi.
