Dünya tıp literatüründe bir ilk: Covid-19, akciğer kanserini taklit etti
12.09.2021 12:37
Son Güncelleme: 12.09.2021 12:38

Kahramanmaraş'ta akciğer kanseri teşhisi konulan N.T.'nin corona virüs testi pozitif çıktı. Ameliyat öncesi Covid-19 tedavisi gören N.T.'ye yapılan tetkikler sonucu corona virüsün akciğer kanserini taklit ettiği tespit edildi. Sütçü İmam Üniversitesi Öğretim Üyesi Dr. Fatoş Kozanlı, corona virüsün akciğer kanserini taklit ettiğini ve bunun dünya tıp literatüründe bir ilk olduğunu söyledi.
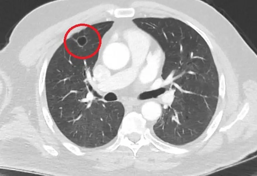
Kahramanmaraş'ta kent dışında çalışan N.T.'nin (52), göğüs ağrısı şikayetiyle gittiği hastanede çekilen tomografisinde sağ akciğerinde 4 santimetre çapında tümör tespit edildi.
Kanser olabileceği şüphesiyle yapılan ileri tetkikler sonrası N. T.'ye akciğer kanseri teşhisi kondu ve acil ameliyat kararı verildi. Bunun üzerine N.T., ameliyat için memleketi Kahramanmaraş'a geldi. Sütçü İmam Üniversitesi Sağlık Uygulama ve Araştırma Hastanesi Göğüs Cerrahi Anabilim Dalı Öğretim Üyesi Dr. Fatoş Kozanlı da tomografi ve test sonuçlarına göre N. T.'ye akciğer kanseri teşhisi koydu ve ameliyat yapılması gerektiğini söyledi.
'KANSER OLSAYDI TÜMÖRÜN ORTADAN KALKMAZDI'
Ameliyat öncesi N.T.'nin Covid-19 testi pozitif çıkınca operasyon ertelendi. Corona virüs tedavisine başlanan N.T.'nin son testi negatif çıktı. Dr. Fatoş Kozanlı, tedavi sonrası tomografisi çekilen N.T.'nin akciğerindeki tümörün yok olduğunu gördü. Kozanlı, N.T.'nin kendilerine başvurduğunda corona virüs belirtisi olmadığını ancak ameliyat öncesi PCR testi yaptıklarını söyledi. Corona virüs tedavisinin ardından ortaya çıkan sonucun kendisini de şaşırttığını belirten Kozanlı, şunları söyledi:
"Hasta bize başvurdu ve göğüs ağrısı şikayeti vardı. Öksürük, nefes darlığı, balgam çıkarma, ateş gibi şikayetleri yoktu. Hastayı biz de değerlendirdik ve ameliyat olmasına karar verdik. Çünkü akciğer kanserine çok benzer radyolojik bulguları vardı. Sağlık Bakanlığımızın kuralları gereği her hastayı ameliyat öncesi PCR testi yapılır. Biz de ameliyat gecesi hastadan PCR testi aldık ve testi pozitif geldi.

Ameliyatımızı 14 gün erteledik ve hastamıza corona virüs tedavisi uygulandı. Hasta 14'üncü gün tekrar bize başvurdu ve yapılan PCR testi negatif çıktı. Yeni bir tomografi çektik ve tümörün tamamen ortadan kalktığını gördük. Şimdi sonuç bilgilerinden başlangıca gittiğimizde, bu bir akciğer kanseri olsaydı, ortadan kalkması mümkün değildi. Başka bir patolojiye bağlı durum olsaydı, yine verdiğimiz tedaviyle ortadan kalkmasını çok beklemeyiz. Antiviral tedavisi verdik ve hastanın radyolojik bulguları neredeyse tamamen normale döndü. Hastaya bunu izah ettik, 'Dünya literatüründe hiç görülmeyen bir radyolojik bulgu' diyerek. Bu gördüğümüz manzara artık hastanın akciğer grafisinde yok, akciğer kanseri değil. "
DÜNYA TIP LÜTERATÜRÜNDE İLK VAKA
Hastayı takip etmeye devam ettiklerini belirten Kozanlı, 2 yıldır dünyayı etkisi altına alan corona virüsün akciğer kanserini taklit ettiğini, böyle bir durumla ilk defa karşılaştıklarını söyledi.
Hem Türkiye'de hem de diğer ülkelerde buna benzer bir vakanın olup olmadığını araştırdığını ifade eden Kozanlı, "Bizim hastamızda akciğer tümörünü taklit eden bir kitle vardı. Ve biz bunu dünya literatüründe hiç görmemiştik. Bununla ilgili geniş çaplı bir araştırma yaptım. Hem kendi deneyimlerimden hem kendi hastanemizde yatan hastalardan yola çıkarak birçok hastanın radyolojik bulgularına baktık. Dünya literatürlerini karıştırdım, diğer arkadaşlarıma danıştım, benzeri bulguya rastlamadım" diye konuştu.
VİDEO: TEST HİLESİNE SUÇÜSTÜ



.jpg?width=358&height=202&format=webp)