İsviçreli bilim insanları: Covid-19 damar hastalığı olarak değerlendirilmeli
03.06.2020 17:19
Son Güncelleme: 03.06.2020 17:20

Yeni tip corona virüsün neden olduğunu Covid-19 hastalığı akciğerlere saldırdığı için solunum yolu hastalığı olarak biliniyor. Ancak, İsviçreli bilim insanları corona virüsün damarları enfekte ederek, kan pıhtılaşması, felç, kalp krizi ve beyin hasarına neden ollduğunu keşfetti. Uzmanlar, bu yüzden Covid-19’un solunum yolu hastalığından daha fazlası olduğunu, aynı zamanda damar hastalığı olarak da değerlendirilmesi gerektiğini açıkladılar.

İsviçre'de Zürih Üniversitesi’nden bilim insanları, yeni tip corona virüsün (Covid-19) diğer solunum hastalıklarında görülmeyen kan pıhtılaması, felç, beyin şişmesi ve kalp rahatsızlıkları gibi sonuçlarına ilişkin bir araştırma yayımladılar. Buna göre corona virüs damarları kaplayan endotel adlı hücrelere saldırarak, söz konusu kalp ve damar hastalıklarına neden oluyor.
"AKCİĞER YETMEZLİĞİ DEĞİL PIHTILAŞMA ÖLDÜRÜYOR"
Bununla birlikte uzmanlar birçok Covid-19 hastasının akciğer yetmezliğinden değil kan pıhtılaşmasından dolayı öldüğünü açıkladı.

Daha önce yapılan çalışmalarda ABD'deki corona virüs hastalarının yüzde 40'ının ani kan pıhtılaşması geliştirdiği ve doktorların Covid-19 tedavisi için kan inceltici ilaçlar kullandığı açıklandı. Ancak, pıhtılaşmayı önleyen ilaçların ardından sonra komplikasyon genellikle devam ettiği belirtildi.
DİĞER SOLUNUM HASTALIKLARINDA YOK
İsviçreli doktorlar, bu durumun oldukça sıradışı olduğunu; soğuk algınlığına neden olan diğer corona virüslerde, 2002 ve 2003'te salgınlara neden olan SARS virüsünde veya hatta H1N1'den muzdarip olanlar gibi şiddetli grip hastalarında daha önce görülmediğini söyledi.
Zürih Üniversitesi Hastanesi araştırmacıları, organ yetmezliği olan üç Covid-19 hastasında benzer bir durumun yaşandığını gözlemlediklerini aktardı.

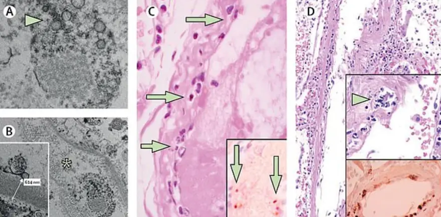
3 COVİD-19 HASTASI DA DAMAR ENFEKSİYONUNA BAĞLI KOMPLİKASYONLAR NEDENİYLE ÖLDÜ
Hastalardan ilki daha önce böbrek nakli yapılmış 71 yaşında bir erkekti. Covid-19 nedeniyle hastaneye kaldırıldıktan 8 gün sonra öldü. Ölümünden sonra, doktorlar enflamatuar hücreleri buldular ve nakledilen böbreğinde, kalp ve ince bağırsağında sağlıklı hücrelerin öldüğünü ve akciğerlere giden damarların tıkalı olduğunu buldular.
Çalıştıkları ikinci kişi Covid-19 hastası obez, diyabetik ve yüksek tansiyonu olan 58 yaşında bir kadındı. Kadının akciğerlerinin ardından diğer organları da durdu. Hastanedeki on altıncı gününde bağırsağının bir kısmı faaliyetlerini durdurdu ve sonunda kalp krizi nedneiyle yaşamını yitirdi. Yapılan otopside, kadının akciğerlerinde, kalbinde, böbreklerinde, ince bağırsaklarındaive karaciğerinde yer alan damarların endotel hücrelerinde aynı iltihap belirtileri bulundu.
Üçüncü hasta ise corona virüs akciğerlerini zayıflattığı için ventilatöre yerleştirilen 69 yaşında yüksek tansiyonlu bir adamdı. Uzmanlar, bir kez daha kan damarı iltihabının ince bağırsağındaki hücrelerin ölmesine neden olduğunu keşfettiler.

Araştırmacılar, virüsün doğrudan kan damarlarının endotel adı verilen astarı enfekte ettiği sonucuna vardı.
Corona virüs, ACE2 olarak bilinen bir reseptörden hücresel rıhtım yoluyla akciğer hücrelerine giriyor. Ancak ACE2 reseptörleri endotel boyunca da bulunuyor. Virüsün endotele ulaşmasıyla vücuttaki kan damarları enfeksiyona karşı hassas hale geliyor.
NEDENİ AÇIKLANAMAYAN COVİD-19 SONUÇLARININ KAYNAĞI
Uzmanlar, bu durumun çocuklarda Covid-19 nedeniyle meydana geldiği düşünülen Kawasaki sendromuna benzer hastalıktan, kan pıhtılaşmasına, ayaklarda görülen beneklerden, felç ve kalp krizi gibi henüz nedeni anlaşılamayan corona virüs kaynaklı komplikasyonların açıklaması olduğunu bildirdi.
RESTORANLARDA 3 GÜNÜ BİLANÇOSU


