44yaşında corona virüsten hayatını kaybeden kişinin akciğer röntgen filmleri virüsün verdiği zararıortaya çıkardı
12.03.2020 11:50
Son Güncelleme: 12.03.2020 12:00
Çin'in Hubey eyaletine bağlı Wuhan’daki salgının kaynağı olduğu düşünülen hayvan pazarında çalışan 44 yaşındaki bir Çinlinin röntgen filmleri yeni tip corona virüsün akciğerlere verdiği zararı açıkça gösteriyor. Filmlerde akciğerdeki hava boşluklarının çoğunluğunun virüs nedeniyle dolduğu görülüyor. Uzmanlar, taramalarda görülen beyaz lekelerin SARS ve MERS’te de mevcut olduğunu belirtti.

Kuzey Amerika Radyoloji Derneği (RSNA), yeni tip corona virüsün (Covid-19) ortaya çıktığı Çin’in Wuhan kentindeki salgının kaynağı olduğu düşünülen deniz ürünleri pazarında çalışan ve 44 yaşında virüs nedeniyle hayatını kaybeden bir adamın röntgen filmlerini kamuoyuyla paylaştı. Filmlerde corona virüsün akciğerleri nasıl tahrip ettiği net bir şekilde görülüyor.

HAVA KESECİKLERİ DOLUYOR
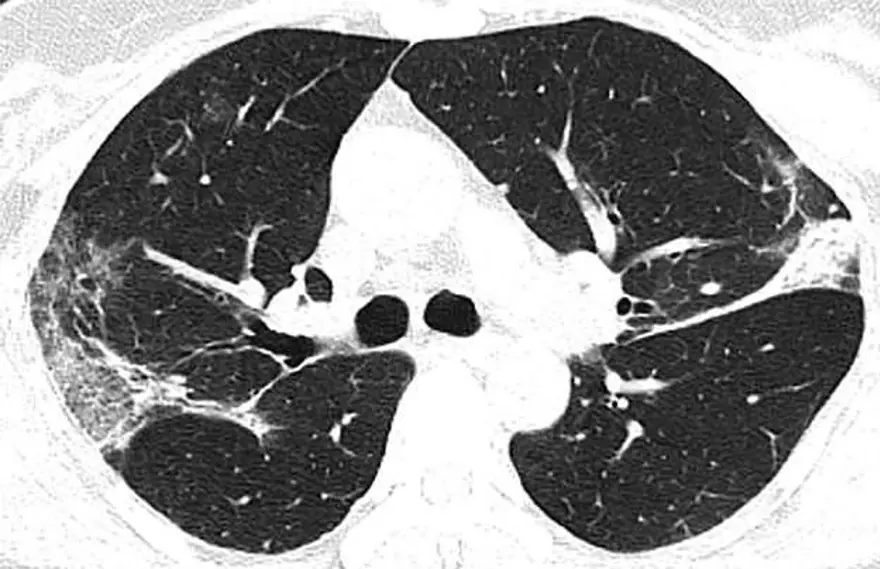
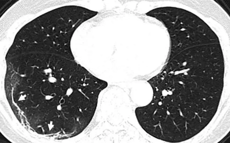
X-ray ışını taramalarında corona virüsün etkileği yerler beyaz olarak görülüyor. Uzmanlar, hastada virüsün akciğerlerdeki hava keseciklerini kısmen doldurduğunu ve akciğer nodüllerine sebep olduğunu belirtti. .Diğer taraftan aynı tip anormalliklerin SARS (Şiddetli Akut Solunum Sendromu) ve MERS (Ortadoğu Solunum Sendromu) vakalarında da görüldüğünü söylediler.

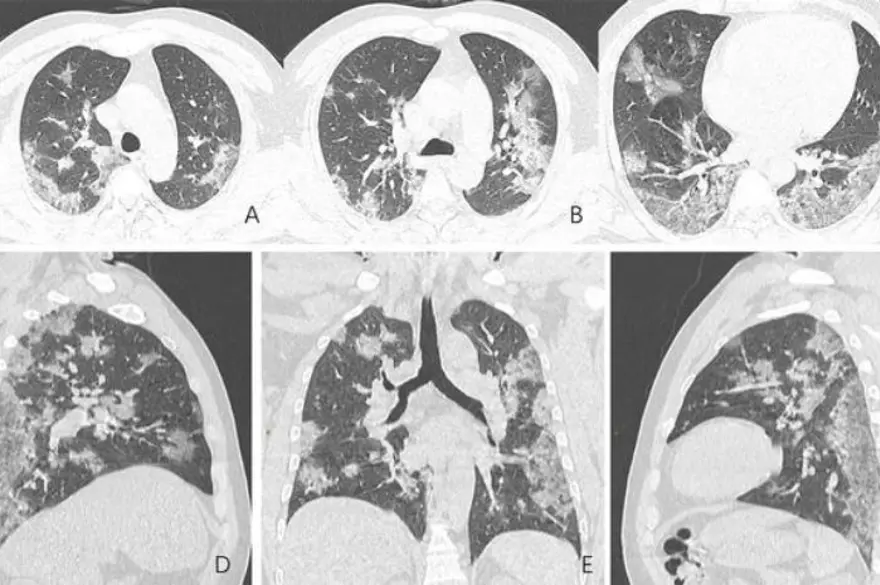
Diğer taraftan, A görüntüsüyle F görüntüsü karşılaştırıldığında, akciğer uzuvlarında bulunan sıvının, zaman içinde belirgin bir şekilde corona virüs nedeniyle arttığı görülebiliyor.

Röntgenleri paylaşılan adamın yaklaşık iki hafta boyunca ateş ve öksürük belirtileri göstermesinin ardından 25 Aralık 2019'da hastaneye kaldırıldığı bir hafta sonra ise hayatını kaybettiği açıklandı.

Wuhan'a seyahat ettikten sonra corona virüse yakalanan 54 yaşında bir kadının bilgisayarlı tomografi taramaları da akciğerlerinde hava boşluklarının kısmen dolduğunu gösteriyor.
Solda yer alan fotoğrafta kırmızı olarak görülen alanlarda nodüller, sağ tarafta ise akciğer ve trakeanın üç boyutlu görüntüsü yer alıyor. Beyaz alanlarda corona virüsün tahribi görülüyor.

Japonya'dan döndükten sonra corona virüse yakalan Çin'in Sichuan eyaletinden 45 yaşındaki bir kadının taramalarında ise, corona virüsün akciğerinin sol üst lobunda ters hale edilmiş hale işareti oluşturdu.

